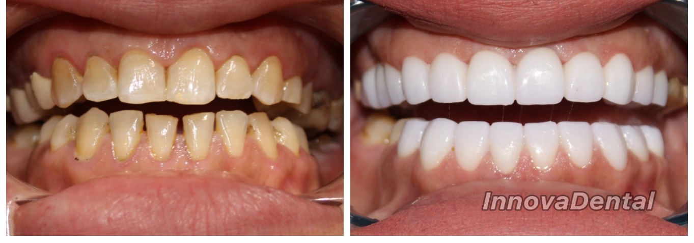
Veneers Before & After

At Innova Dental, we know veneers.

We’ve placed hundreds of veneers...and counting.

Been there, done that. We’re ready for even the most challenging cases.

There are years of cosmetic training under our belts.

We’ve taken years of specialized, hands-on training to prepare us for any smile.

As active dental instructors, we’re always up to date.

When the science of veneers evolves, our tools and techniques do too.

Dental Veneers
3D Render of Veneers

Get the feeling of flawless.

Veneers aren’t just for Hollywood heartthrobs and Cosmo cover girls.

They’re for anyone who’s tired of the little imperfections in their smile. From color to size to shape, they make your smile flawless.

What are veneers?

They’re the quickest way to a better-looking smile.

Made from long-lasting porcelain or composite, they seamlessly integrate with your teeth to cover up imperfections in a way that looks 100% natural.

Small changes. Big difference.

Veneers Are Great For…
Patching Chips or Cracks

Leave the distressed look to your jeans.

Covering Up Stains

Stains from coffee or smoking? Gone.

Closing Gaps

No more spaces between your teeth.

Fixing Misalignment

Straighten your smile without braces.